The word orthodontics is derived from the Greek roots orthos (straight) and odons (teeth). While tooth alignment remains a foundational component of our specialty, defining orthodontics solely by straight teeth no longer reflects the expectations of today’s patients—or the responsibility of the modern orthodontist.
Patients are increasingly educated, outcome-driven, and health-conscious. They are not simply seeking aligned dentition; they want improved facial esthetics, long-term function, healthy tissues, and results that last a lifetime. At the same time, advances in diagnostics, biomechanics, TADs, lasers, and digital treatment planning have expanded what is possible in orthodontic care.
This evolution demands a broader clinical framework.
The Modern Smile Foundations concept was developed by Dr. Michael Bicknell to redefine orthodontic excellence by expanding treatment goals beyond alignment alone. It emphasizes a comprehensive, systems-based approach that integrates occlusion, facial balance, soft tissue management, smile design, and airway awareness. This model reflects how contemporary orthodontists must think, diagnose, and treat in an era where patients expect more—and where clinicians are equipped to deliver more.

The 8 Foundations of a Modern Smile
When evaluated systematically—beginning in the lower left and moving clockwise—the Modern Smile Foundations framework highlights eight interdependent pillars that define comprehensive orthodontic care. Each foundation influences the others, and true excellence occurs when they are addressed cohesively rather than in isolation.
1. Occlusion
Proper occlusion is the cornerstone of functional orthodontic treatment. Ideal interdigitation supports efficient mastication, reduces occlusal trauma, and minimizes long-term tooth wear and joint stress. Yet achieving optimal occlusion requires more than finishing wires and settling elastics.
Intentional case planning, precise bracket positioning, torque control, and thoughtful anchorage management are essential. Modern orthodontics demands that clinicians view occlusion not as a finishing step, but as a guiding principle throughout treatment.

2. Midlines
Dental midlines must always be evaluated in the context of the facial midline—not simply relative to each other. Facial asymmetry, skeletal discrepancies, tooth-size imbalances, and space management challenges often complicate midline correction.
Temporary anchorage devices (TADs) have transformed how orthodontists approach midline discrepancies, allowing for asymmetric mechanics without unwanted reciprocal movement. Midlines are not cosmetic details; they are indicators of comprehensive diagnosis and biomechanical control.

3. Facial Profile
Orthodontic treatment has a direct and lasting impact on facial profile, lip support, and overall facial harmony. Incisor position—both sagittal and vertical—plays a critical role in soft tissue outcomes.
Modern smile design prioritizes tooth preservation whenever possible, recognizing the long-term esthetic and functional consequences of unnecessary extractions. Orthodontists must balance dental goals with facial balance, understanding that patients ultimately judge results by what they see in the mirror—not just what appears on a cephalometric tracing.

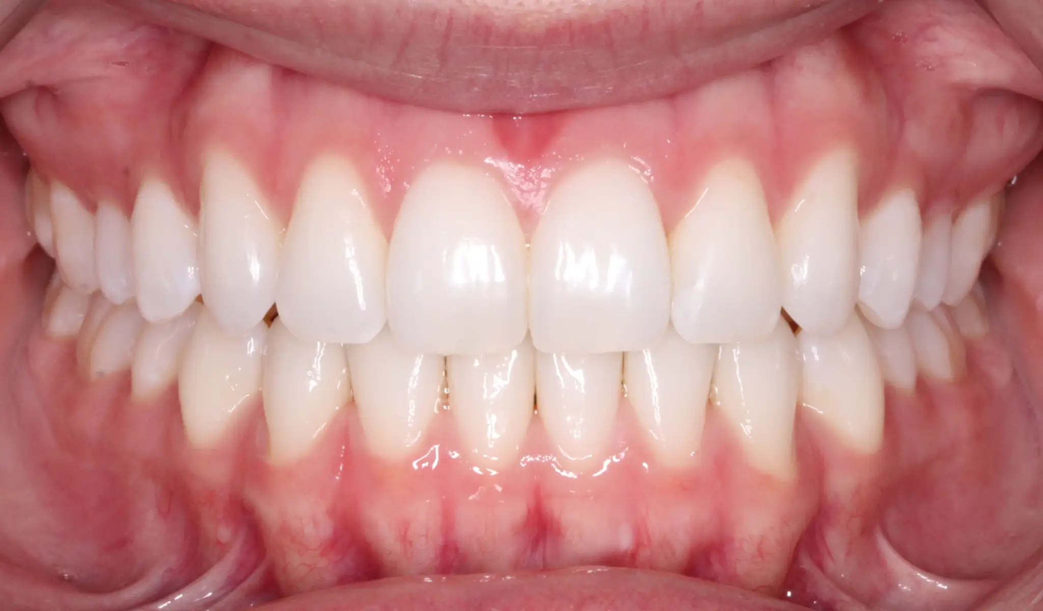
4. Smile Arc
A harmonious smile arc is a hallmark of high-level orthodontic treatment. A flat or reversed smile arc can undermine otherwise excellent alignment and occlusion, creating an aged or artificial appearance.
Purposeful bracket placement, vertical control of the maxillary incisors, and attention to incisal edge position are essential for creating a youthful, consonant smile arc. This foundation underscores the importance of treating in three dimensions rather than focusing solely on alignment in the transverse plane.

5. Smile Width
Smile width is closely tied to arch development, facial esthetics, occlusal stability, and even airway volume. Narrow arches often result in dark buccal corridors and compromised function.
Modern passive self-ligation systems and biologically respectful expansion techniques allow orthodontists to develop arch form while maintaining periodontal health. A naturally broad, well-supported smile enhances both esthetics and long-term stability—making smile width a critical component of modern orthodontic planning.

6. Tooth Shape
Even with ideal alignment, occlusion, and arch form, tooth shape can limit the final outcome. Proportions, contact points, embrasures, and incisal edge morphology all influence smile esthetics.
Minor artistic recontouring, polishing, or collaboration with restorative colleagues can dramatically elevate final results. Modern orthodontics recognizes that finishing is both a science and an art—and that small refinements often make the biggest visual impact.

7. Tissue Contour
Gingival architecture frames the smile. Excessive gingival display, uneven gingival margins, or altered passive eruption can detract from otherwise excellent orthodontic outcomes.
Contemporary orthodontists increasingly integrate TADs and laser-assisted soft tissue procedures to manage gingival esthetics predictably. Soft tissue management is no longer an afterthought—it is a core component of comprehensive smile design.

8. Airway Awareness
Perhaps the most significant evolution in modern orthodontics is the growing emphasis on airway awareness. Tongue posture, arch volume, maxillary development, and mandibular positioning all influence airway dimensions and overall health.
With the use of advanced 3-D imaging and digital diagnostics, orthodontists can evaluate airway implications and plan treatments that support function rather than compromise it. While orthodontics does not replace medical management of sleep-disordered breathing, airway-conscious treatment planning represents a critical step toward more responsible, health-centered care.

Today’s orthodontist must be an architect of facial balance, function, tissue health, longevity, and overall wellness. Straight teeth are no longer enough. The Modern Smile Foundations framework provides a clear, visual, and clinical roadmap for delivering outcomes that align with where orthodontics is today—and where it must continue to go.
By embracing a comprehensive approach to smile design, orthodontists elevate their results, differentiate their practices, and meet the rising expectations of modern patients.
This is orthodontics evolved.
Learn how to achieve the Modern Smile Foundation with UOA’s online and in-person courses: